Tečajevi Stomatološkog fakulteta u Zagrebu 2025

Napominjemo da SAMO UPLATA OSIGURAVA MJESTO na prijavljenom tečaju.

Uplatu vršite na  račun STOMATOLOŠKOG FAKULTETA:

IBAN HR7423600001101235285

poziv na broj 5-(broj odabranog tečaja).


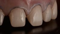
Napredne tehnike brušenja u fiksnoj...

Voditelj: Prof.dr.sc. Marko Jakovac

Datum: 05.07.2025. / Vrsta: radni tečaj / Poziv na broj: 5-15 / Cijena: 600 eur   / Mjesto održavanja: Stomatološki fakultet – pretklinika / HKDM bodovi: 10

TEČAJ JE POPUNJEN! HVALA NA INTERESU

Trend minimalno invazivne dentalne medicine postoji već godinama. Materijali i tehnike brušenja se mijenjaju i preparacije ulaze u područje mikroinvazivnih zahvata. Dolaskom intraoralnih skenera doktori po prvi puta postaju svjesniji kvalitete preparacije zuba. Naime, slika na ekranu monitora otkriva sve nesavršenosti preparacije koje su nekada nevidljive u ustima, pogotovo bez optičkih pomagala. Takva pomagala više nisu dodatna, nego obavezna sredstva za rad.
U tečaju će se prikazati niz preparacija na modelu od preparacija za estetske i okluzalne ljuske do krunice. Svaki sudionik će svaku preparaciju raditi na više zuba.
Preporuka je donijeti lupe na tečaj. Organizator će omogućiti ostale materijale i svrdla.

Davor Illeš
Objavljeno: 10. 1. 2025. u 11:48
Uređeno: 24. 4. 2025. u 16:15
Popis obavijesti

Obavijesti

Stabiliziraj traumu, spasi zub!

Voditelj: Izv. prof. dr. sc. Tomislav Škrinjarić

Datum: 8.11.2025. / Vrsta: radni tečaj / Poziv na broj: 5-31 / Cijena: 200 eur   / Mjesto održavanja: Stomatološki fakultet – pretklinika nova / HKDM bodovi: 0

PRIJAVA

SFZG
Objavljeno: 11. 1. 2025. u 09:43
Uređeno: 13. 10. 2025. u 18:29

Voditelj: Prof. dr. sc. Hrvoje Brkić

Datum: 08.11.2025. / Vrsta: simpozij / Poziv na broj: 5-10 / Cijena: 100 eur   / Mjesto održavanja: Hotel Dubrovnik, Zagreb / HKDM bodovi: 8/10/10 DMD/DT i DA-zaposlenici fakulteta /

PRIJAVA 

SFZG
Objavljeno: 11. 1. 2025. u 09:38
Uređeno: 13. 1. 2025. u 17:07

Voditeljica: Izv. prof. dr. sc. Iva Alajbeg

Datum: 15.11.2025. / Vrsta: radni / Poziv na broj: 5-13 / Cijena: 230 eur   / Mjesto održavanja: Stomatološki fakultet - predavaonica / ambulanta mobilna  / HKDM bodovi: 10  /

PRIJAVA

SFZG
Objavljeno: 11. 1. 2025. u 09:29
Uređeno: 11. 1. 2025. u 11:57

Voditelj: Prof.dr.sc. Amir Ćatić

Datum: 28./29.11.2025. / Vrsta: radni tečaj / Poziv na broj: 5-11 / Cijena: 500 eur   / Mjesto održavanja: Stomatološki fakultet – pretklinika nova / HKDM bodovi: 10

TEČAJ JE POPUNJEN. HVALA NA INTERESU!

SFZG
Objavljeno: 11. 1. 2025. u 09:23
Uređeno: 28. 7. 2025. u 16:21

Voditeljica: Izv. prof. dr. sc. Andreja Carek

Datum: 13.12.2025. / Vrsta: radni / Poziv na broj: 5-28 / Cijena: 190 eur   / Mjesto održavanja: Stomatološki fakultet - pretklinika nova / HKDM bodovi: /

PRIJAVA

 

SFZG
Objavljeno: 11. 1. 2025. u 09:19
Uređeno: 11. 1. 2025. u 11:57